站内搜索:
联系我们 | 网站地图 | English | 中国科学院  
科学传播
 您现在的位置:首页 > 科学传播 > 科普作品
深度学习在定量磁化率成像中的应用
发表日期: 2020-09-24 作者: 张洪远
打印 文本大小:    关闭

  什么是定量磁化率成像? 

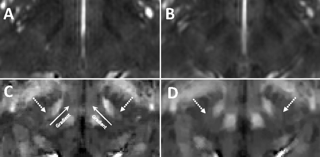
  定量磁化率成像(Quantitative Susceptibility Mapping, QSM)是近年来磁共振成像技术上的重大进展。磁化率是物质放入外磁场后的一种物理特性,物质根据磁化率特性可分为顺磁性、逆磁性和铁磁性,组织的磁化率信息包含在磁共振图像的相位数据中。目前大多数磁共振成像技术依赖幅值数据成像,含丰富磁化率信息的相位数据通常被舍弃。QSM通过磁共振相位数据确定组织磁化率的分布,如图一所示,其可以从一个新的角度为研究者提供组织微观结构、病变区域等有效信息Dimov A V, Gupta A, Kopell B H, et al. High-resolution QSM for functional and structural depiction of subthalamic nuclei in DBS presurgical mapping[J]. Journal of neurosurgery, 2018, 131(2): 360-367.。特别地,QSM可以提供有关髓鞘与白质组成、铁和铜元素的异常沉积等信息,已被广泛用于阿尔茨海默症和帕金森综合症、脑血肿等疾病的研究与诊断。 

 

  图一 133岁男性健康者的MRI-T2图像与QSM图像信息对比Dimov A V, Gupta A, Kopell B H, et al. High-resolution QSM for functional and structural depiction of subthalamic nuclei in DBS presurgical mapping[J]. Journal of neurosurgery, 2018, 131(2): 360-367.。与MRI-T2相比,QSM可清晰地显示丘脑底核 

  深度学习的优势 

  由于偶极子卷积核中奇异角的存在,QSM的重建是一个病态的逆问题。传统的QSM重建方法如图二所示,其通常需要人工设计特征提取规则,不仅流程繁琐、参数难以调节而且不能保证所提取特征的有效性与全面性Deistung A , Schweser F , Reichenbach J. Overview of quantitative susceptibility mapping [J]. Nmr in Biomedicine, 2016, 30: 3569-3595.。近年来,随着硬件计算能力的提高,深度学习Lecun Y, Bengio Y, Hinton G. Deep learning [J]. Nature, 2015, 521(7553): 436-444.在图像处理领域取得巨大成功。如图三所示,深度学习方法通常训练人工神经网络直接学习输入数据与标签数据之间特征分布的变换,其可以自动地学习图像特征,避免了人工设计特征提取规则。在图像超分辨、压缩感知重建等图像重建的病态逆问题上,深度学习方法已经取得超越传统方法的重建效果。因此使用深度学习来拟合重建过程中的偶极子卷积核可以取得更加准确的重建结果。 

 

  图二 由单方向磁共振扫描数据重建出磁化率图像的流程图Deistung A , Schweser F , Reichenbach J. Overview of quantitative susceptibility mapping [J]. Nmr in Biomedicine, 2016, 30: 3569-3595. 

 

  图三 人工神经网络的主要构成。 

  基于深度学习的定量磁化率成像 

  在基于深度学习的QSM中,我们使用基于幅值数据的MRI-T1图像与基于相位数据的局部场分布图作为卷积神经网络的输入。相比于其他医学成像方式,MRI可以通过设计不同序列、调整成像参数、对幅值与相位数据进行后处理等手段,获得反映组织结构不同特征的多种成像模态,不同模态的MRI在临床诊断中扮演了不同的角色Deistung A , Schweser F , Reichenbach J. Overview of quantitative susceptibility mapping [J]. Nmr in Biomedicine, 2016, 30: 3569-3595.。因此增加输入模态可以为卷积神经网络提供更加全面的空间结构信息,能够有效提升重建准确度。除此之外,我们还对用于QSM的网络模型进行合理设计。所提出的网络模型嵌入了多种功能模块,其可以充分提取两种模态图像的空间结构信息,并且具有良好的训练稳定性。与其他方法相比,基于该网络模型的方法在健康人脑数据、血肿人脑数据与模拟人脑数据上均能重建出更加准确的磁化率图像。 

  深度学习的局限 

  深度学习的出现令人兴奋,但是其在医学影像领域也存在一定的局限性。首先,深度学习是一种数据驱动的方法,优秀的深度网络模型需要大量有效数据作为支撑。然而医学影像数据往往具有较高的采集与标注成本,建立大规模训练数据集较为困难。除此之外,当训练好的网络模型在其他机构应用时,网络模型通常需要迁移学习来保持性能,这也限制了深度学习的临床应用能力。最后,深度学习并不具有因果逻辑性,因此其并不能替代医生做出诊断。我们需要合理评估深度学习在医学影像中的应用领域,只有在合适的场景采用相关技术才能使人工智能更好地服务于医生和患者。 

  参考文献 

  1.   Dimov A V, Gupta A, Kopell B H, et al. High-resolution QSM for functional and structural depiction of subthalamic nuclei in DBS presurgical mapping[J]. Journal of neurosurgery, 2018, 131(2): 360-367. 

  2.   Deistung A , Schweser F , Reichenbach J. Overview of quantitative susceptibility mapping [J]. Nmr in Biomedicine, 2016, 30: 3569-3595. 

  3.   Lecun Y, Bengio Y, Hinton G. Deep learning [J]. Nature, 2015, 521(7553): 436-444. 

  4.   Deistung A , Schweser F , Reichenbach J. Overview of quantitative susceptibility mapping [J]. Nmr in Biomedicine, 2016, 30: 3569-3595. 

附件
 
版权所有:中国科学院苏州生物医学工程技术研究所 Copyright 2009 All Rights Reserved
电话:0512-69588000 传真:0512-69588088 E-mail:office@sibet.ac.cn
地址:苏州高新区科技城科灵路88号 邮编:215163 苏ICP备16039565号
官方微信扫一扫